【聚力肿瘤防治 守护生命健康】武宁县总医院人民医院院区成功创建县级肿瘤防治中心
在“健康中国”战略的引领下,武宁县总医院人民医院院区近日正式获评为江西省县级肿瘤防治中心,标志着我院肿瘤防治能力迈上新台阶,正式纳入覆盖全省的“省-市-县”三级肿瘤防治网络体系,成为区域肿瘤防治工作的中坚力量。
我院始终秉持“早发现、早诊断、早治疗”的核心理念,不断完善“县-乡-村”三级联防联控机制,通过规范化筛查、精准诊断、多学科综合治疗(MDT)及全程化管理,为县域及周边群众提供全方位、全周期的肿瘤防治服务。此次成功创建,是我院肿瘤防治体系建设的重要里程碑,更是对全体医务人员辛勤付出的高度认可。
肿瘤防治是一项系统工程,需要多学科紧密协作。我院已搭建起以肿瘤科为核心,联合泌尿外科、胸外科、呼吸与危重症医学科、妇科、肝胆外科、胃肠外科、介入室、病理科、影像科、检验科、功能科、麻醉科等多学科的综合诊疗平台,为各类肿瘤患者提供规范化、个体化、精准化的诊疗方案。
案例分享
一、泌尿外科:精准微创,攻克腹膜后肿瘤
针对肾上腺肿瘤等腹膜后复杂占位,泌尿外科团队熟练掌握腹腔镜微创技术。近期,一例因体检发现肾上腺占位的患者,经影像评估与内分泌检查,高度怀疑嗜铬细胞瘤。团队充分进行术前扩容降压准备,成功实施“腹腔镜下左侧肾上腺全切术”。术后病理确诊为嗜铬细胞瘤(恶性潜能)。此类手术风险高、操作精细,我院团队凭借娴熟技术,实现了肿瘤完整切除,患者恢复良好,彰显了在复杂内分泌肿瘤微创手术领域的专业能力。

二、胸外科:高难微创,勇克双侧多原发肺癌
胸外科在复杂肺癌手术领域不断突破。一例55岁女性患者,CT发现双肺多发结节,高度怀疑多原发肺癌。面对传统分期手术创伤大、恢复慢的挑战,经多学科(MDT)充分评估、精密协作,胸外科团队勇于创新,成功为患者实施了“单孔胸腔镜下同期双侧肺癌根治术(右肺上叶切除+左肺下叶背段切除+双侧纵隔淋巴结清扫)”。手术一次完成,极大减少了患者痛苦与住院时间。术后病理证实为双侧原发性肺癌,分期分别为IIB期和IA2期。患者术后恢复迅速,第二天即可下床活动,并接受规范的靶向治疗(口服奥希替尼)。至今随访2年,无复发迹象,生活质量高。此案例彰显了我院胸外科在高难度、微创化、个体化肺癌手术治疗方面的卓越实力。
术前右侧胸部肿瘤
术前左侧胸部肿瘤
术后病理及免疫组化
三、胃肠外科:多科协作,攻坚复杂二次手术
胃肠外科面对复杂、高风险的二次肿瘤手术展现出强大实力。一例66岁残胃癌复发患者,11年前曾行胃癌部分切除术,腹腔粘连严重,且合并肺气肿、营养不良等多重问题。胃肠外科牵头组织心内科、麻醉科、呼吸内科、影像科、临床营养科、中医科等进行多学科(MDT)会诊,制定了周详的个体化手术与围手术期管理方案。团队成功为患者实施了高难度的“残胃切除+食管空肠吻合+淋巴结清扫+粘连松解”手术。术后,针对患者出现的血压偏低等情况,心内科与中医科协同干预;临床营养科全程提供阶梯式营养支持。在多学科无缝协作下,患者平稳度过危险期,未发生严重并发症,顺利康复出院。该案例是我院利用多学科(MDT)综合诊疗模式优势处理复杂腹部肿瘤的成功典型案例。



四、呼吸老年科/肿瘤科:规范综合,应对“癌王”挑战
面对恶性程度高、进展快的小细胞肺癌,肿瘤科与呼吸老年科紧密协作。一例伴有广泛转移(肺内、纵隔淋巴结、骨、颈部淋巴结)的晚期小细胞肺癌患者,呼吸科团队迅速完成病理确诊与全面分期。综合考虑患者身体状况与经济因素,为其制定了“化疗联合免疫治疗”的个体化方案。经过系统治疗,患者胸闷、气促等症状显著改善,体力状态恢复,治疗过程平稳。



此外,我院肿瘤科已成熟开展“日间化疗”服务,为病情稳定、治疗方案适宜的患者提供“白天治疗、晚上回家”的便捷模式,在保证治疗效果的同时,极大提升了患者的治疗体验与生活质量,减轻了家庭陪护负担。这全面体现了我院在恶性肿瘤规范化疗、免疫治疗、靶向治疗及人性化服务管理方面的综合能力。
五、妇产科肿瘤科:精细分层,规范治疗妇科肿瘤
妇科肿瘤团队致力于卵巢癌等疾病的规范化诊治。一例术前影像学考虑附件良性包块的患者,术中首次手术发现可疑迹象,团队严格遵守诊疗规范,及时终止,待病理确诊为卵巢恶性肿瘤后,迅速启动多学科讨论。随后,为患者实施了标准的“卵巢癌全面分期手术”(包括全子宫切除、双附件切除、大网膜切除及系统性淋巴结清扫)。术后精准分期为IA期,避免了不必要的放化疗,实现了治疗效果与生活质量的平衡,展现了妇科肿瘤诊疗的规范性、精准性和以患者为中心的决策理念。
六、肿瘤科:介入综合,缓解晚期肿瘤之苦
对于已失去手术机会的晚期肝癌伴梗阻性黄疸患者,肿瘤科介入团队发挥了关键作用。一例直肠癌肝、肾上腺多发转移导致严重黄疸、肝功能受损的患者,情况危急。团队首先行“经皮胆管支架植入+引流术”,快速解除胆道梗阻,改善肝功能。待患者状况稳定后,又为其制定了序贯的“肝动脉灌注化疗联合栓塞术(HAIC+TACE)”方案。经过数次介入治疗,患者肝内转移灶明显缩小,黄疸完全消退,肿瘤标志物显著下降,生活质量得到极大改善。这凸显了我院在晚期肿瘤并发症处理及局部介入综合治疗方面的强大技术支撑。
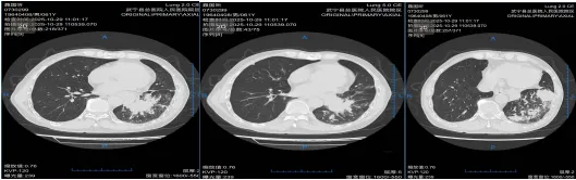
2025年08月31日CT示:

2025年9月29日CT示:
2025年11月20日CT示:
成功创建县级肿瘤防治中心是起点,而非终点。下一步,人民医院院区将以评促建,持续提升高危人群筛查、肿瘤早诊早治能力,深化多学科协作,引进并优化治疗技术,同时加强区域协作与健康宣教。我们将始终以守护人民群众生命健康为己任,努力为县域百姓提供更优质、更高效、更便捷的肿瘤防治服务,为“健康武宁”建设贡献坚实力量!
责编:医务科、邹桂丽

用户登录
还没有账号?
立即注册